143240 - Tallinn/ MEES KOZÕREV

  • Возраст: 7 лет
  • Пол: m
  • Размер: большая
  • Поступление в приют: 26.11.2014
  • Место отлова: Pärnu mnt
  • Уехал/а: в новый дом, 24.05.2015
  • На день отъезда сидел/а в приюте: 180-й день
  • Кастрирован: нет
  • Дополнительная информация:
    Kass on raskes olukorras, vigastatud.

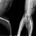
    - Множественный оскольчатый перелом бедра
    - разрыв мочевого пузыря
    - отрыв уретры от мочевого пузыря
    - мочевой перитонит
    Оказывается лечение.
    На 26.11.2014 коту проведена операция по восстановлению мочевого пузыря и устранению перитонита и разрыва с отрывом.
    27.11.2014 - остеосинтез бедренной кости.
    Надеемся на лУчшее!
  • 143240 - Tallinn/ MEES KOZÕREV
  • 143240 - Tallinn/ MEES KOZÕREV
  • 143240 - Tallinn/ MEES KOZÕREV
  • 143240 - Tallinn/ MEES KOZÕREV
  • 143240 - Tallinn/ MEES KOZÕREV
  • 143240 - Tallinn/ MEES KOZÕREV
  • 143240 - Tallinn/ MEES KOZÕREV
  • 143240 - Tallinn/ MEES KOZÕREV
  • 143240 - Tallinn/ MEES KOZÕREV
  • 143240 - Tallinn/ MEES KOZÕREV
  • 143240 - Tallinn/ MEES KOZÕREV
  • 143240 - Tallinn/ MEES KOZÕREV
  • 143240 - Tallinn/ MEES KOZÕREV
  • 143240 - Tallinn/ MEES KOZÕREV
  • 143240 - Tallinn/ MEES KOZÕREV
  • 143240 - Tallinn/ MEES KOZÕREV
  • 143240 - Tallinn/ MEES KOZÕREV
  • 143240 - Tallinn/ MEES KOZÕREV
  • 143240 - Tallinn/ MEES KOZÕREV
  • 143240 - Tallinn/ MEES KOZÕREV
  • 143240 - Tallinn/ MEES KOZÕREV
  • 143240 - Tallinn/ MEES KOZÕREV
  • 143240 - Tallinn/ MEES KOZÕREV
  • 143240 - Tallinn/ MEES KOZÕREV
  • 143240 - Tallinn/ MEES KOZÕREV
  • 143240 - Tallinn/ MEES KOZÕREV
  • 143240 - Tallinn/ MEES KOZÕREV
  • 143240 - Tallinn/ MEES KOZÕREV

Ваш комментарий на премодерации.

Комментарии

  1. Любовь 27.12.2016 10:28:09
    Супер котяра! Молодцы сотрудники приюта, такое хорошее дело делают.
  2. Марина 01.03.2016 23:30:58
    С ДНЕМ КОТА!!! Поздравления главному коту и остальным обитателям!
  3. Anja 07.01.2016 13:42:42
    daaa už kurtjaha takaja modnjavaja , daže s kapjushonchikom... zdorovo emu tam u vas živjotsa! vsegda syt, guljaet gde hochet i vsegda možet na diivane povaljatsa!!!
  4. см 06.01.2016 12:49:03
    ух, ты боже мой, какая прелесть! такой сладкий зайчик утеплился) как же ему нравится гулять по снегу, теперь еще и в модной теплой курточке! сразу видно, что любят и заботятся о малыше!
  5. ТАМАРА 27.11.2015 13:58:53
    Mees в личном супермаркете: "и это все мое!"
  6. Ещё