Твой звонок стоит денег — помощь неоценима.
Позвони и пожертвуй.
Rihmata - Paldiski/ T-1/ VURR
- Возраст: 2 года
- Пол:

- Размер: маленькая
- Поступление в приют: 27.04.2015
- Место отлова: Pakri 6
- Уехал/а: в новый дом, 30.06.2015
- На день отъезда сидел/а в приюте: 65-й день
- Стерилизована: да
- Дополнительная информация:
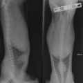
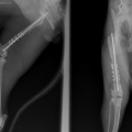
Kass kukkunud ilmselt aknast alla, tagumise käpa luumurd.
Ваш комментарий на премодерации.






















muidugi saab! Ta on nüüd ka kastreeritud ning ootab uut omanikku! :)
Äkki see uus omanik olete ikka teie! :)
Kas on võimalik tulla seda kiisut vaatama?Oleme ikka samad inimesed kes toimetasime ta Teile sinna ja ka Stella.Laps tahaks neid mõlemaid näha ja arvatavasti soovikseme selle kiisu võtta oma pereliikmeks .Ette tänades Merike
kiisu pareneb. Tal oli puusaluu murd (unustasin pildid lisada siia albumisse, kohe teen).
Praegu taastub ilusti operatsioonist. Keegi ei otsinud teda veel :(