Твой звонок стоит денег — помощь неоценима.
Позвони и пожертвуй.
151057 - Tallinn/ KIKI
- Возраст: 2 года
- Пол:

- Размер: маленькая
- Поступление в приют: 11.08.2015
- Место отлова: Kivila
- Уехал/а: в новый дом, 29.08.2015
- На день отъезда сидел/а в приюте: 19 дней
- Стерилизована: неизвестно
- Дополнительная информация:
14.08.2015
Kass on opereeritud! - Кошка прооперирована.
---
13.08.2015
PALUN ABI!
Hea noor kass, väga sõbralik. Kassil on luumurd! Vaja opereerida. Kassile on olemas kindel soovija!
---
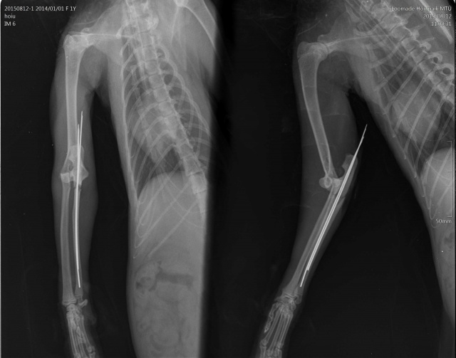
ПРОСИМ ПОМОЩИ!
Хорошая молодая кошка неудачно сломала локтевой сустав. Надо помочь!
Диагноз:
- вывих локтевого сустава
- перелом локтевой кости
- межмыщелковый перелом плеча(?)
MTÜ LOOMADE HOIUPAIK
SEB EE151010220043748018 --- SWEDBANK EE772200221056134796
makse selgitus: 151057
või/или
9006580 – €2 9006590 – €10
või/или
PAYPAL: arve@pets.ee
---
Esikäpa vigastusega.
Ваш комментарий на премодерации.
Комментарии
-
Скоро-скоро :) Пусть чуть времени пройдёт :)
-
да, народ требует, фотки счастливой мордахи из нового дома с отъевшейся попой развалившейся среди подушек:))))
-
povezlo kisule! ždjom novostei iz doma!!!
-
Скорейшего воздаровления, немного помогли Вам. Дайте потом знать, как состояние кошки.
-
Ждём новостей!
- Ещё









